展会新闻
2014 权威综述:后循环缺血性卒中
2015.02.09
后循环缺血性卒中的早期诊断可以预防残疾和挽救生命,但与其他类型的缺血性卒中相比,后循环缺血性卒中相对较难诊断,且治疗效果往往不佳。
BMJ发表相关综述详细阐述了正确诊断及治疗后循环缺血性卒中(包括鉴别后循环与前循环缺血性卒中)的重要意义和面临的重大挑战。
图 1.
一、定义
1.后循环缺血性卒中是因椎管狭窄、原位血栓形成、或血栓性闭塞后引起后循环动脉局部缺血的一种临床综合症;
2.后循环动脉系统包括颈部椎动脉、颅内椎动脉、基底动脉、大脑后动脉等及其分支(图 1);
3.闭塞部位不同,引起的临床表现不同(图 1、图 2);
4.前、后循环缺血性卒中有着显著差异,检查仪器的诊断价值不同、最佳诊断方式不同、临床特征也不同(见下表);
5.头颅 CT 是急性脑卒中影像学诊断的金标准,然而对后循环缺血性卒中的检测敏感性欠佳。
图 2.
二、病因
1.最常见的是椎 - 基底动脉粥样斑块形成或动脉夹层引起动脉闭塞、心源性栓子脱落引起的动脉栓塞;
2.颅外椎动脉夹层也是引起卒中的一个重要原因,尤其在年轻患者中;其通常不引起疼痛,也没有明确症状;
3.不常见的原因有动脉炎、椎 - 基底动脉延长或扭曲。在年轻患者中,动脉延长或扭曲常见于 Fabry 病(一种罕见的 X 染色体连锁遗传的多系统溶酶体储存障碍疾病);
4.后循环缺血性卒中的危险因素包括高血压、吸烟、高胆固醇血症、房颤和冠状动脉疾病。
三、临床症状和体征
1.由于后循环负责供应脑干、小脑和枕叶皮质,所以后循环缺血性卒中通常会引起头晕、复视、构音障碍、吞咽困难、姿势步态不稳、共济失调和视野缺损等症状;
2.对后循环缺血性卒中具有较高诊断价值的体征有:交叉性感觉障碍、交叉性运动障碍、动眼神经麻痹、象限盲;
3.临床实践中,当卒中患者仅表现为无特征性的共同体征时,前、后循环缺血性卒中难以鉴别;
4.TIA 发作常伴构音障碍或复视等轻微症状,往往是严重后循环缺血性卒中发生的征兆,此时应立刻认识到病情的严峻性,并赶紧请专家会诊评估;
5.短暂的脑干症状(如单纯的眩晕)通常不能满足典型 TIA 的诊断标准,近年来已被认为是后循环缺血性卒中发生的征兆,当然,并非每次出现之后都会有后循环缺血性卒中的发生。
四、鉴别诊断
1.急性周围前庭功能障碍:急性周围前庭功能障碍通常表现为单纯的眩晕,不伴其他脑干症状或体征,比后循环缺血性卒中引起的单纯眩晕多见。头位改变或 Dix-Hallpike 手法试验有助于急性周围前庭功能障碍的诊断;
2.急性脑出血、蛛网膜下腔出血和脑肿瘤:影像学检查显得更加重要。偏头痛常伴头晕和复视等先兆,伴枕部疼痛时,与后循环缺血性卒中症状相似,这种情况我们应该立刻排除,尤其在病人第一次就诊描述时;
3.中毒或代谢紊乱疾病:包括药物滥用、低血糖、脑桥中央髓鞘溶解症和感染后疾病,如抗体相关疾病(如 Miller Fisher 综合征,它引起眼肌麻痹、共济失调和发射消失)。
4.可逆性后部脑病综合征:表现为视物模糊、癫痫发作及其他局灶症状。该疾病往往累及后循环,且常伴有高血压。
5.神经炎症或慢性感染疾病:如肉状瘤病、贝赛特氏症和惠普尔氏病, 可能会累积脑干,通常伴一系列临床特征。髓质、脑桥和小脑的病毒感染、细菌感染或真菌感染后的直接效应和导致的感染性脉管炎症状也与卒中表现相似。
五、所致的临床综合征
后循环缺血性卒中引起的临床综合征分别累积不同的部位,掌握这些综合征对临床医生尤为重要。
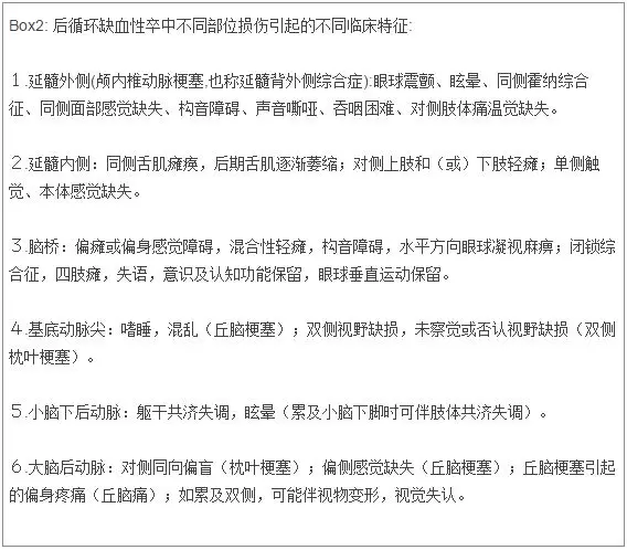
1.延髓背外侧综合征:
颅内椎动脉梗塞中最常见的临床综合征,是由于供应延髓背外侧的血管分支梗塞所致,经常被漏诊或误诊(图 3);
临床体征为对侧头面部及肢体触痛觉、温度觉减退,其他临床特征见 Box2;
小脑下后动脉梗塞常导致共济失调,其供应部位受损引起的各项局灶性神经功能障碍(图 2)后既发引起同侧后枕部、颈部疼痛;
图 3. 左侧脊髓梗塞。A.MRI T2 扫描成像。B.MRI DWI 扫描成像。
2.大脑后动脉梗塞:
临床特征为同侧同向偏盲、感觉缺失,而无肢体瘫痪(图 2B);基底动脉尖闭塞可导致中脑、丘脑、和部分颞叶、枕叶(大脑后动脉分支供应的部分)的梗塞;脑干被盖区梗塞主要会影响警觉、行为、记忆、动眼和瞳孔等功能。
3.闭锁综合征:
完整的脑桥梗塞所致,临床表现为四肢瘫痪、构音障碍,但意识保留,患者可通过眼球或面部的部分运动与外界交流;还有许多与之齐名的后循环梗塞综合征,但大多都是不完整的神经功能损伤。
4.注意:
这些临床综合征的临床症状常常会发生变化,尤其是感觉症状,例如小脑下后动脉综合征,初始症状可能表现为面部疼痛,后来则为单侧面部感觉减退;
后循环缺血性卒中的首发症状很少为昏迷,但确定其是否因基底动脉血栓形成引起尤为重要。
六、诊断
1.主要基于大脑局灶功能受损引起的临床体征,需排除其他非血管源性病因;
2.也可借助诊断工具,如急诊室卒中识别指南可以帮助急诊室工作人员快速识别急性卒中;
3.后循环缺血性卒中的诊断主要依靠病史询问、神经系统体格检查及影像学等辅助检查;
4.当病人被怀疑脑卒中时,应立刻行头颅 CT 或 MRI 影像学检查以排除脑出血,如果患者具备溶栓治疗指征时,必须行 CTA 以明确基底动脉是否闭塞;
5.除后颅窝外,CT 或 CTA 的敏感性明显高于 MRI;动态观察颅内血管并识别闭塞血管方面,CTA 与 MRA 比 DSA 敏感性更高;
6.怀疑后循环缺血性卒中时,尤其在卒中超早期,MRI 弥散象(DWI)检查为最佳选择;后循环缺血性卒中早期,MRI 的敏感性较低,即假阴性率较高;
7.最新国际指南推荐使用 MRI 检测 TIA,包括后循环 TIA。在卒中发生后几天内,尤其是较轻微的卒中或 TIA,头颅 MRI 成像具有最重要的诊断价值。
七、治疗
后循环卒中急性期,稳定病情、防止加重和恢复症状至关重要。在运送病人至医院的途中,要保证呼吸通畅、维持正常血液循环,必要时配置专门的麻醉小组。
1.溶栓治疗
符合溶栓标准的后循环缺血性卒中患者,在起病 4.5 小时内,可静脉注射组织型纤溶酶原激活物 (tPA);
与前循环卒中静脉溶栓相比,后循环溶栓更容易引起出血、过敏反应和血管性水肿等;
静脉溶栓禁忌症第一条则为颅内出血,包括一切已知或很可能会在静脉溶栓后发生出血的情况;
其他的禁忌症还包括:难以控制的高血压 (收缩压>180mmHg 或舒张压 >110mmHg)、颅内出血史、活动性内脏出血、骨折、急性外伤、严重头部创伤、过去3个月内有过颅内或脊柱手术或出血性疾病。
2.急性血管内治疗
急性血管内治疗 (动脉内的凝块移除或溶解) 已经应用于急性基底动脉闭塞的患者;然而,并无证据表明动脉内治疗具有很好的疗效;
基底动脉闭塞的治疗时间窗可能比其他类型的卒中要宽,可以考虑把静脉内或血管内治疗时间窗上调至 24 小时。有人推测,后循环梗塞半暗带脑组织比前循环梗塞半暗带脑组织的抗缺血能力强,所以治疗时间窗相对要宽;
对于伴口吃的 TIA 患者或无影像学证据的广泛梗塞患者,溶栓治疗可能是最有效的治疗手段;急症血管成形术或颅外椎动脉支架成形术对于广泛卒中病人并不实用。
3.外科手术治疗
对于大范围的小脑梗塞、伴颅内压增高或脑积水引起的意识水平下降时,神经外科介入治疗可能是救命的治疗手段;快速后颅窝解压,移除部分坏死组织很可能是救命性治疗手段,然而这一推论缺乏随机对照试验的证明。
4.治疗后注意事项
识别引起卒中的可能原因或危险因素对卒中防治具有重要意义,应遵守执行国际卒中防治指南推荐的各项指导方针;
需监测心电图、肝肾功能、全血细胞计数(包括血小板)、血糖、血脂、电解质、凝血酶原时间、国际标准化比值 (INR) 及活化部分凝血活酶时间;
遇到上述临床综合征时,需详细评估心源性病因,如监测心率以识别房颤;卒中患者发病机制和危险因素不明时,可把注意力放在心源性因素上,如仍找不到原因时,可筛查是否有存在感染或其它可引起动脉血栓形成的疾病。
八、预防
1.最新国际卒中防治指南推荐通过健康的生活方式和药物进行卒中的二级预防,其中具体包括抗血小板聚集、降血脂、血压控制等;
2.血栓形成的二级预防推荐:单独使用氯吡格雷(阿司匹林或双嘧达莫);急性缺血性卒中患者治疗2周后,符合抗凝治疗指征时(如有心房纤颤),权衡利弊后即可开始抗凝治疗;
3.患者存在脑梗塞高发风险时,如有症状的椎基底动脉狭窄,应考虑使用双重抗血小板聚集药物。
本文要点:
1.后循环缺血性脑卒中通常占缺血性脑卒中的 20%-25%;
2.后循环 TIA 常表现为短暂或轻微的脑干缺血症状,诊断比前循环缺血要难;
3.难以在溶栓治疗时间窗内对患者及时进行评估并实施溶栓治疗;
4.后循环缺血性脑卒中的复发率高于前循环脑卒中,尤其是伴椎 - 基底动脉狭窄的患者,其复发率增加三倍;
5.伴脑积水或颅内压增高的患者需尽快行神经外科手术治疗;
6.基底动脉闭塞患者常伴较高的死亡率或致残率,当血供不能恢复时尤甚;如果患者出现急性昏迷、构音障碍、吞咽困难、四肢瘫痪、瞳孔和眼球运动异常等症状时,应立即向卒中专家寻求治疗。

