展会新闻
图解脑供血之脑静脉
2014.12.31
脑的静脉按照部位不同,可分为大脑静脉,间脑静脉,脑干静脉,小脑静脉。各静脉之间存在广泛联系。大脑静脉分浅深两组。大脑浅静脉组接受大脑皮质和皮质下髓质的静脉血,大脑深静脉组接受室周髓质、基底核、内囊、脉络丛及间脑背面的静脉血,两者在脑内和脑外广泛连接(图1-图8)。
图1 大脑浅静脉
图2 小脑静脉
正位(A)和侧位(B)解剖图展示了涉及椎-基底动脉系统的脑桥中脑静脉解剖结构。1.脚间静脉;2.罗森塔尔基底静脉;3.大脑后动脉;4.小脑上静脉;5.脑桥中脑前静脉;6.岩部静脉;7.小脑前下动脉;8.椎动脉;9.前髓静脉;10.小脑后下动脉;11.基底动脉;12.脑桥横静脉;13.中脑外侧静脉;14.大脑内静脉;15.下矢状窦;16.大脑大静脉;17.直窦;18.上矢状窦。
图3 大脑大静脉
图4 脑干静脉
图5 颈内静脉(断面观)
图6 颈内静脉和椎静脉(磁共振断面)
1.颈内静脉;2.鼻咽;3.颈内动脉;4.小脑。
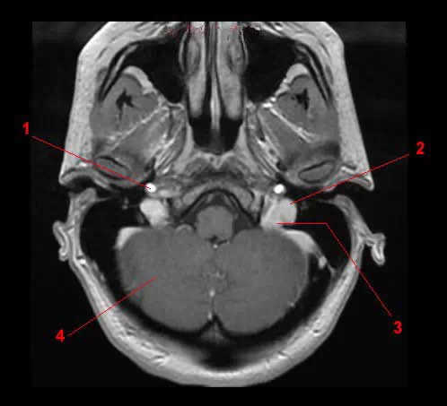
图7 颈内静脉和椎静脉(磁共振断面)
1.颈内动脉;2.颈静脉球;3.乙状窦;4.小脑。
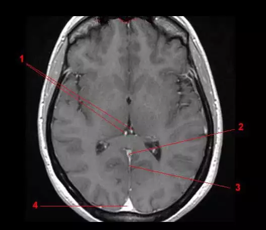
图8 颈内静脉和椎静脉(磁共振断面)
1.大脑内静脉;2.大脑大静脉;3.直窦;4.上矢状窦。
由广州康复设备展转载自中国卒中网

